Oregon Family Stunned When X Ray Reveals Shocking Object Hidden Inside Their Cat’s Mouth
Kevin, a cat from Portland, Oregon, is a reminder that feline curiosity can take a frightening turn.
Always eager to explore, he found himself in a situation so dangerous it nearly cost him his life.
It all started in the most ordinary way. Kevin wandered into a child’s room where sewing supplies had been left out. To him, the shiny pieces must have looked like perfect toys for a late-night adventure.
But what began as innocent curiosity quickly turned into a nightmare when Kevin accidentally swallowed a sewing needle.

What his family didn’t know was that the sharp object had become dangerously stuck.
Instead of passing through, the needle pierced the roof of his mouth and even reached into his nasal cavity. The pain was unbearable.
Kevin struggled to swallow, couldn’t keep food down, and began vomiting. He was clearly in distress, but no one could figure out why.
At first, his family thought he had just caught a stomach bug. When his symptoms didn’t improve and he continued acting strangely, refusing food, gagging, and throwing up, they rushed him to urgent care.
Even there, the mystery wasn’t immediately solved. The vets could see Kevin was sick, but nothing obvious explained his condition.

That’s when the urgent care team decided he needed more specialized help.
They referred him to DoveLewis Veterinary Emergency & Specialty Hospital, a place known for handling the most puzzling and serious cases.
At DoveLewis, Kevin was carefully examined under anesthesia, which gave the vets a chance to look deeper without causing him more stress.
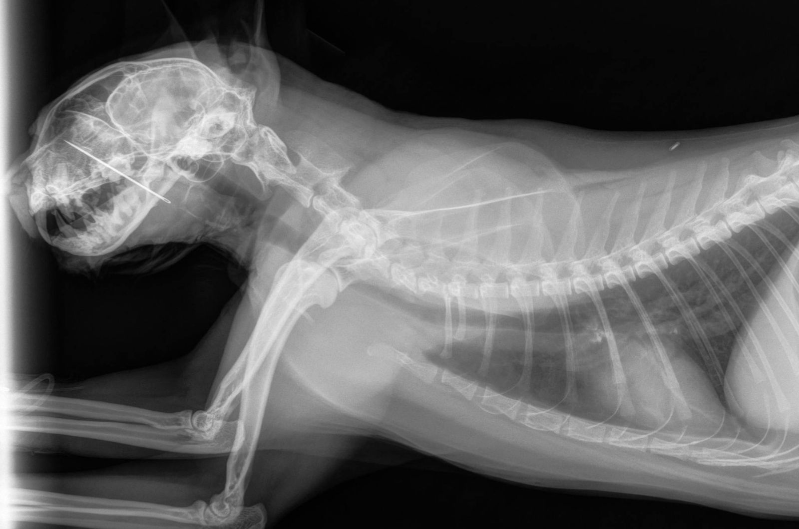
That’s when the shocking discovery was made. An X-ray revealed the sewing needle stuck firmly in his hard palate, extending into his nasal cavity.
It was a sight that made even the experienced staff pause. But the team wasted no time. With precision and skill, they carefully removed the needle before it could cause more damage.

Thanks to their quick action, Kevin was finally free of the object that had caused him so much pain.
Within days, Kevin began acting like himself again. His appetite returned, the vomiting stopped, and his playful spirit slowly came back.
While it’s impossible to know whether he truly “learned his lesson,” his family certainly did. They became much more careful about keeping small, dangerous objects out of reach, realizing how something as simple as a sewing needle could nearly have taken their cat from them.
Kevin’s story serves as a reminder to all pet parents: our homes may feel safe, but they’re filled with hidden hazards we might not even think about.
A little extra caution can make all the difference when it comes to protecting the curious souls we love.
